Condrossarcoma do Sacro - Sacrectomia Parcial - Vídeolaparoscopia
O condrossarcoma é um tumor maligno originado nas células cartilaginosas, frequentemente afetando a região sacral. Este artigo descreve o caso de um paciente masculino, comerciante, de 50 anos, que apresentava um tumor na região sacro-ilíaca esquerda desde os 5 anos, com aumento progressivo e agravamento nos últimos 4 meses, causando compressão esfincteriana vesical, necessitando o uso de sonda vesical de demora.
Diagnóstico
Exames de Imagem
Radiografia de Bacia: A radiografia revelou múltiplos osteocondromas na bacia e nas metáfises proximais dos dois fêmures. Na região sacro-ilíaca esquerda, observou-se uma grande lesão acometendo o hemisacro e a pelve, com características de degeneração sarcomatosa para condrossarcoma.
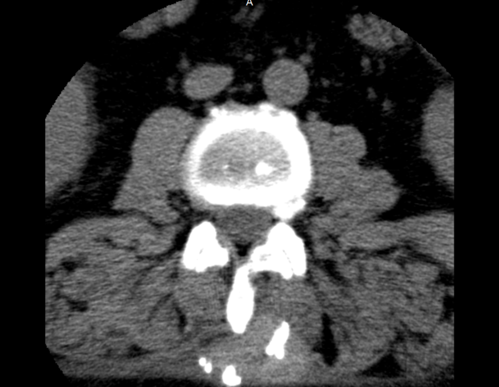
Tomografia Computadorizada (TC): A tomografia evidenciou o limite proximal da lesão infiltrando a musculatura paravertebral esquerda, com calcificação próxima à face externa da lâmina. Cortes axiais mostraram a lesão presa à asa do ilíaco esquerdo, com inúmeras calcificações e protrusão em direção à pele. A lesão acometia a parede externa do hemisacro e da pelve esquerda, com superfícies anfractuosas.
Ressonância Magnética (RM): A RM sagital T1 e T2 revelou uma lesão heterogênea na região anterior e posterior do sacro, com focos de calcificação, superfície irregular e espessa capa cartilaginosa, acometendo parte de S3. Cortes axiais T2 mostraram a lesão na musculatura paravertebral e na região posterior do ilíaco esquerdo, com sinal alto periférico e baixo no centro.
Reconstrução 3D em TC: As imagens em 3D da bacia em diversas posições mostraram a extensão e localização da lesão, afetando o processo espinhoso de S2 e a região posterior do ilíaco esquerdo. O comprometimento das lâminas e do processo espinhoso de S3 e da região sacro-ilíaca foi claramente visualizado.
Tratamento
Sacrectomia Parcial com auxílio da Videolaparoscopia
O paciente foi submetido a uma sacrectomia parcial, envolvendo equipes de ginecologia, cirurgia geral e oncologia ortopédica. A cirurgia foi realizada em várias etapas, utilizando técnicas avançadas de videolaparoscopia para melhorar a precisão e minimizar os riscos.
Preparação e Posicionamento: O paciente foi anestesiado e posicionado na mesa cirúrgica com membros inferiores apoiados em perneiras ginecológicas. A região lombar acima do sacro foi sustentada por apoios improvisados com campos cirúrgicos, criando um espaço vazio abaixo do sacro para manipulação durante o decúbito dorsal.
Dissecção e Ligadura de Vasos: A equipe da laparoscopia iniciou a abordagem dissecando os vasos ilíacos e pélvicos, proporcionando passagem segura para as serras flexíveis. O retroperitônio foi acessado e os vasos anteriores ao tumor foram ligados e cauterizados.
Passagem do Cateter de Ressecção: Um cateter de ressecção foi introduzido através do portal videolaparoscópico, transfixando o sacro para passagem da serra de Gigli. Este cateter foi cuidadosamente posicionado para garantir a segurança durante a osteotomia posterior.
Osteotomia e Ressecção do Tumor: A serra de Gigli foi utilizada para ressecar a lesão, seguida pela remoção da peça tumoral. A incisão foi ampliada conforme necessário para melhor visualização e manipulação da lesão.
Hemostasia e Sutura: Após a ressecção, hemostáticos de partes moles foram aplicados e a região foi suturada. A área operada foi limpa e preparada para o fechamento final, garantindo controle adequado do sangramento.
Pós-Operatório
Imediato: No pós-operatório imediato, o paciente foi monitorado com imagens de TC em 3D para avaliar a eficácia da ressecção e verificar a ausência de lesões residuais. A recuperação inicial mostrou boa resposta ao tratamento, com controle adequado dos sintomas e complicações mínimas.
Seguimento a Longo Prazo: O paciente retornou ao consultório após seis meses, apresentando boa cicatrização da ferida operatória e recuperação funcional satisfatória. Relatou estar em boas condições de saúde, inclusive dirigindo de sua cidade até o consultório para consultas de acompanhamento.
O tratamento do condrossarcoma do sacro é complexo e requer uma abordagem multidisciplinar para garantir a ressecção completa e minimizar complicações. A utilização de técnicas avançadas de imagem e videolaparoscopia contribui significativamente para o sucesso do procedimento e recuperação do paciente. Este caso destaca a importância de um diagnóstico preciso e um plano de tratamento bem coordenado para o manejo eficaz do condrossarcoma sacral.
Condrossarcoma do Sacro. Paciente do sexo masculino, comerciante, com 50 anos de idade, apresentando tumor na região sacro ilíaca esquerda, desde os 5 anos, com aumento progressivo e piora há 4 meses, com compressão esfincteriana vesical, que o obriga a usar sonda vesical de demora, Figuras 1 – 17.
Após o estudo das radiografias e da tomografia foi solicitado exame de ressonância magnética, Figuras 18 – 31.
O paciente foi encaminhado a outro médico que solicitou nova tomografia, com reconstrução em 3D para melhor estudo do caso, Figuras 32 – 45.
O paciente foi submetido a cirurgia com a equipe da Ginecologia, Cirurgia Geral e da Oncologia Ortopédica dia 30/05/2014, Figuras 46 – 162
Pós operatório de ……. Figuras 163 – 188
Retorno ao Consultório de pós operatório de 1 mês.
Paciente retornou ao consultório no dia 22/12/2014, pós operatório de 6 meses. Figura 189 – 195
Autor do Caso
Autor : Prof. Dr. Pedro Péricles Ribeiro Baptista
Oncocirurgia Ortopédica do Instituto do Câncer Dr. Arnaldo Vieira de Carvalho
Consultório: Rua General Jardim, 846 – Cj 41 – Cep: 01223-010 Higienópolis São Paulo – S.P.
Fone:+55 11 3231-4638 Cel:+55 11 99863-5577 Email: drpprb@gmail.com
