Osteossarcoma do úmero com metástase pulmonar Endoprótese de Polietileno - Metastectomia
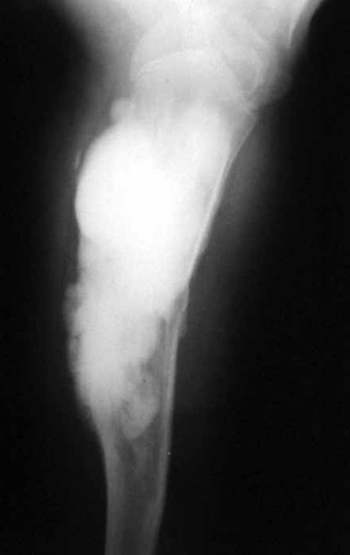
Osteossarcoma com Metá Pulmonar. Paciente nascida em 07/06/1976, é atendida em 1987, com onze anos de idade, com antecedente de duas intervenções cirúrgicas prévias, de curetagem de lesão no úmero proximal esquerdo, havia um ano.
O laudo anátomo patológico diagnosticava tratar-se de osteossarcoma do tipo paraosteal, que devido à manipulação cirúrgica havia invadido o canal medular e já apresentava dois nódulos metastáticos para o pulmão, figuras 1 à 5.
Vídeo 1: Função após 19 anos, em 23/10/2006.
É preciso ressaltar que o paciente em acompanhamento oncológico sofre a cada avaliação de controle. Por isso é prudente previní-los, quanto ao pequeno nódulo pulmonar calcificado do complexo primário da tuberculose, que é normal e esta presente na grande maioria da população. Desta maneira estaremos poupando sofrimento desnecessário tanto ao paciente como aos familiares.
Vídeo 2: Função em 06/08/2014, com 27 anos de acompanhamento de ressecção de osteossarcoma do úmero esquerdo e reconstrução com endoprótese não convencional de polietileno.
Autor do Caso
Autor : Prof. Dr. Pedro Péricles Ribeiro Baptista
Oncocirurgia Ortopédica do Instituto do Câncer Dr. Arnaldo Vieira de Carvalho
Consultório: Rua General Jardim, 846 – Cj 41 – Cep: 01223-010 Higienópolis São Paulo – S.P.
Fone:+55 11 3231-4638 Cel:+55 11 99863-5577 Email: drpprb@gmail.com
