Diagnóstico Diferencial Nódulo Pulmonar e Calo de Fratura
O diagnóstico diferencial entre nódulo pulmonar e calo de fratura é essencial para evitar diagnósticos incorretos e tratamentos inadequados. Este texto aborda um caso clínico de um paciente de 85 anos, fumante desde os dezoito anos, que procurou atendimento médico devido a uma queixa de falta de ar aos esforços.
Exames Iniciais e Primeiras Impressões
Na Unidade Básica de Saúde, foi realizada uma radiografia de tórax. A radiografia de tórax em anteroposterior (AP) revelou uma imagem condensante na projeção do lobo inferior do pulmão esquerdo. A imagem foi destacada com um círculo vermelho, evidenciando um possível nódulo pulmonar. Em uma radiografia em oblíqua, um aumento de densidade foi observado no mesmo local, reforçando a suspeita de neoplasia pulmonar.
Diante desses achados, o paciente foi encaminhado para um oncologista, e exames adicionais foram solicitados para estadiamento da lesão, incluindo uma tomografia do tórax e uma broncoscopia para biópsia.
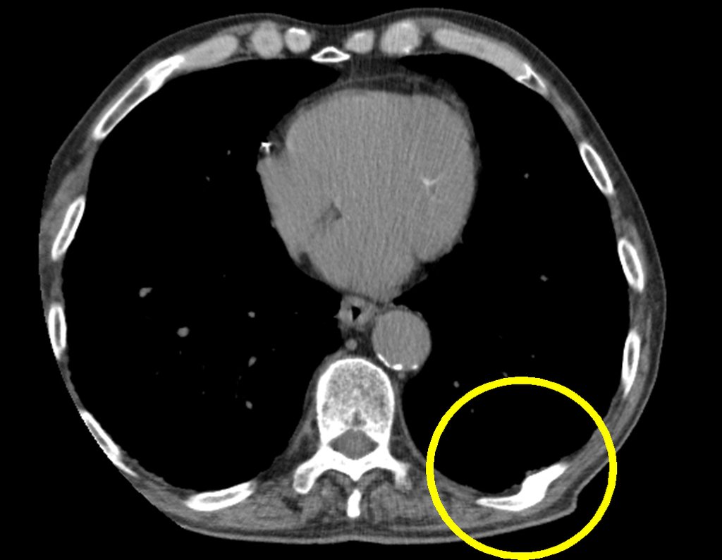
Investigação por Tomografia
A tomografia axial de tórax evidenciou características de um pulmão de fumante crônico, com áreas de teleangiectasia, congestão vascular e enfisema pulmonar. Entretanto, a tomografia não confirmou a presença do nódulo pulmonar observado nas radiografias iniciais. Em vez disso, foram encontradas alterações no nono e décimo arco costal posterior esquerdo, sugerindo um calo de fratura.
Revisão dos Exames de Imagem
Para esclarecer a origem da imagem condensante, foi realizada uma nova radiografia de tórax em perfil absoluto. Esta nova imagem não mostrou a condensação que sugeria a presença de um nódulo pulmonar, levando à interpretação de que a condensação observada previamente correspondia, na verdade, a um calo de fratura no arco costal.
Confirmação do Diagnóstico
Radiografias subsequentes e tomografias mais detalhadas corroboraram que a imagem condensante inicialmente interpretada como nódulo pulmonar era, de fato, um calo de fratura. A radiografia AP focalizada após a tomografia esclareceu que a condensação correspondia ao calo de fratura do nono arco costal posterior. Adicionalmente, a tomografia destacou calos de fratura nos arcos costais posteriores esquerdo e direito.
História Clínica
A história clínica do paciente revelou uma queda de escada dois anos antes, resultando em fraturas do punho direito e de várias costelas. Esse detalhe, associado a uma análise cuidadosa dos exames de imagem, foi crucial para o diagnóstico correto.
Este caso ilustra a importância de uma história clínica detalhada, exames de imagem adequados e uma análise cuidadosa para evitar diagnósticos incorretos, como a confusão entre nódulo pulmonar e calo de fratura. A abordagem correta e a revisão minuciosa dos exames foram fundamentais para chegar ao diagnóstico preciso, evitando um tratamento desnecessário para uma condição mal interpretada inicialmente.
Diagnóstico entre Calo e Nódulo. Paciente com 85 anos de idade, fumante desde os dezoito anos, refere “falta de ar”, aos esforços. Procura uma Unidade Básica de Saúde onde é realizada uma radiografia de tórax, figuras 1 e 2.
Este achado foi interpretado como nódulo pulmonar e o paciente foi encaminhado para o oncologista com suspeita de neoplasia primária do pulmão. Nódulo pulmonar ?
Na investigação diagnóstica foram solicitados exames para estadiamento da lesão e broncoscopia para biópsia. Dentre os exames foi realzada uma tomografia do tórax, figuras 3 e 4.
Na análise cuidadosa, das imagens desta tomografia, não se encontrou a área condensante, observada nas radiografias, que sugeria a presença de nódulo primário no parênquima pulmonar do lobo inferior do pulmão esquerdo !?.
Foi encontrado, entretanto, alteração no 90 e 100 arco costal posterior esquerdo, figuras 5 e 6.
Com esta constatação, foi realizada nova radiografia tomando-se o cuidado de obter um perfil absoluto do tórax, figuras 7 e 8.
As figura 9, 10 e 11 esclarecem a falsa interpretação de calo de fratura X nódulo pulmonar.
Na história o paciente referia queda de escada havia dois anos. Ele acordara de madrugada para ir ao banheiro e caiu, rolando escada abaixo e sofrendo fratura do punho direito e de várias costelas.
História clínica precisa + exames de imagem adequados + análise cuidadosa, são fundamentais para o diagnóstico correto.
Autor do Caso
Autor : Prof. Dr. Pedro Péricles Ribeiro Baptista
Oncocirurgia Ortopédica do Instituto do Câncer Dr. Arnaldo Vieira de Carvalho
Consultório: Rua General Jardim, 846 – Cj 41 – Cep: 01223-010 Higienópolis São Paulo – S.P.
Fone:+55 11 3231-4638 Cel:+55 11 99863-5577 Email: drpprb@gmail.com
