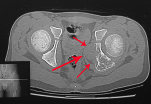
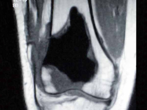
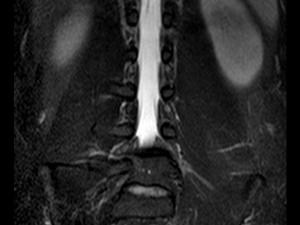
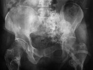
Ela inclui aulas acadêmicas, palestras proferidas em congressos nacionais e internacionais, trabalhos publicados, discussões de casos, procedimentos cirúrgicos realizados e técnicas próprias desenvolvidas.
O formato digital foi escolhido porque a web permite a inclusão de textos com inúmeros recursos visuais, como imagens e vídeos, que não seriam possíveis em um livro impresso.
O conteúdo é destinado a estudantes, profissionais da saúde e ao público em geral interessado na área.
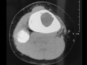
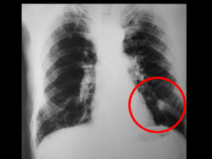
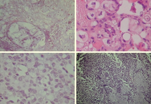
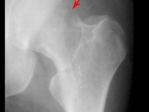
Este livro sobre Oncologia e Oncocirurgia Ortopédica inclui aulas acadêmicas, palestras proferidas em congressos nacionais e internacionais, trabalhos publicados, discussões de casos, procedimentos cirúrgicos realizados e técnicas próprias desenvolvidas.
O formato digital foi escolhido porque a web permite a inclusão de textos com inúmeros recursos visuais, como imagens e vídeos, que não seriam possíveis em um livro impresso.
O conteúdo é destinado a estudantes, profissionais da saúde e ao público em geral interessado na área.
Este livro sobre Oncologia e Oncocirurgia Ortopédica inclui aulas acadêmicas, palestras proferidas em congressos nacionais e internacionais, trabalhos publicados, discussões de casos, procedimentos cirúrgicos realizados e técnicas próprias desenvolvidas.
O formato digital foi escolhido porque a web permite a inclusão de textos com inúmeros recursos visuais, como imagens e vídeos, que não seriam possíveis em um livro impresso.
O conteúdo é destinado a estudantes, profissionais da saúde e ao público em geral interessado na área.
Fale agora via WhatsApp